Fetal Biometry: Normal Ranges At 28 Weeks

N.Ravtech 11 views
Fetal Biometry: Normal Ranges At 28 Weeks

Fetal Biometry: Normal Ranges at 28 Weeks

Understanding fetal biometry is crucial during pregnancy, especially around the 28-week mark. This article will delve into the normal ranges for various fetal measurements, including IPSE, IBP, DSE, HC (Head Circumference), AC (Abdominal Circumference), and FL (Femur Length). These measurements help healthcare providers assess your baby’s growth and development, ensuring everything is on track for a healthy delivery. So, let’s break down what each of these measurements means and what constitutes a normal range at 28 weeks. Knowing these ranges can provide reassurance and help you better understand your baby’s development during this important stage of pregnancy. It’s all about keeping an eye on those milestones and ensuring your little one is growing strong! Fetal biometry uses ultrasound to estimate the size and weight of the fetus during pregnancy. Measurements like biparietal diameter (BPD), head circumference (HC), abdominal circumference (AC), and femur length (FL) are taken and compared to standard growth curves for gestational age. This helps assess fetal growth, identify potential growth abnormalities, and estimate fetal weight. Regular monitoring of these biometric parameters is crucial for identifying potential issues early and ensuring appropriate management of the pregnancy. In the following sections, we’ll go into more detail about each specific measurement, explaining how they’re obtained and what their normal ranges are. This information should provide a comprehensive overview of fetal biometry and its importance in prenatal care.

Understanding Fetal Biometry Measurements

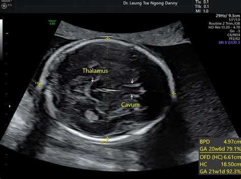
IPSE, IBP, and DSE

Unfortunately, the abbreviations IPSE, IBP, and DSE are not standard measurements used in fetal biometry. It’s possible these are either less common acronyms, specific to a particular clinic or research study, or perhaps even typographical errors. Typically, fetal biometry focuses on measurements like BPD (Biparietal Diameter), HC (Head Circumference), AC (Abdominal Circumference), and FL (Femur Length). If you’ve encountered these abbreviations in your medical reports, the best course of action is to clarify them with your healthcare provider. They can provide the specific meaning and context related to your situation. It’s important to have a clear understanding of any medical terminology used in your reports to ensure you’re well-informed about your baby’s development. Don’t hesitate to ask questions and seek clarification whenever you’re unsure about something. Your healthcare provider is there to support you and provide the information you need for a healthy pregnancy. Remember, being proactive and informed is key to ensuring the best possible outcome for you and your baby. And guys, if you ever feel lost or confused by medical jargon, just speak up! There are no silly questions when it comes to your health and your baby’s well-being. Always prioritize open communication with your healthcare team. Remember, the goal is to work together to ensure a safe and healthy pregnancy journey. By staying informed and asking questions, you’re actively participating in your prenatal care and contributing to a positive outcome.

HC (Head Circumference)

Head Circumference (HC) is a vital measurement in fetal biometry, providing insights into the baby’s brain growth. At 28 weeks, the normal range for HC typically falls between 25.3 cm and 28.3 cm. This measurement is obtained by carefully tracing the outline of the baby’s head on an ultrasound image. It’s important to remember that these are just average ranges, and slight variations can occur depending on individual factors. Factors influencing HC include genetics, maternal health, and overall fetal growth patterns. If the HC measurement falls outside the typical range, your healthcare provider will investigate further to determine if there’s any cause for concern. This might involve additional ultrasounds or other tests to assess the baby’s development more comprehensively. It’s crucial to maintain regular prenatal checkups so your doctor can monitor these measurements and address any potential issues promptly. Remember, early detection and intervention can make a big difference in ensuring a healthy outcome for your baby. So, keep those appointments and don’t hesitate to voice any concerns you might have. Your healthcare team is there to support you every step of the way. Keeping track of head circumference helps doctors monitor brain development. Significant deviations from the normal range can indicate potential problems, such as microcephaly (smaller than normal head size) or macrocephaly (larger than normal head size). Regular monitoring and appropriate interventions are crucial for addressing any concerns and ensuring the best possible outcome for the baby’s neurological development. So, head circumference measurement is an important tool for monitoring fetal health.

AC (Abdominal Circumference)

Abdominal Circumference (AC) is another key measurement, reflecting the size of the baby’s abdomen and providing information about their nutritional status and growth. At 28 weeks, the normal range for AC is generally between 22.2 cm and 26.0 cm. This measurement is taken by outlining the baby’s abdomen on the ultrasound image, ensuring accuracy in the process. AC is particularly useful in estimating fetal weight and identifying potential growth abnormalities. Variations in AC can be influenced by factors such as maternal nutrition, placental function, and fetal metabolism. If the AC measurement is outside the normal range, it could indicate either intrauterine growth restriction (IUGR) or macrosomia (excessive fetal growth). In such cases, your healthcare provider will conduct further evaluations to determine the underlying cause and implement appropriate management strategies. This may involve monitoring your diet, assessing placental blood flow, or performing additional tests to evaluate the baby’s health. Remember, maintaining a healthy diet and lifestyle during pregnancy is crucial for supporting optimal fetal growth and development. So, focus on nourishing your body with nutrient-rich foods and staying active as recommended by your doctor. Your dedication to a healthy pregnancy will contribute significantly to your baby’s well-being. Abdominal circumference is a valuable indicator of fetal growth and nutritional status. Monitoring AC helps healthcare providers assess whether the baby is receiving adequate nutrition and growing at a healthy rate. Deviations from the normal range can indicate potential problems, such as intrauterine growth restriction (IUGR) or macrosomia (excessive fetal growth), requiring further evaluation and management.

FL (Femur Length)

Femur Length (FL) measures the length of the baby’s thigh bone and is used to estimate gestational age and assess skeletal growth. At 28 weeks, the normal range for FL typically falls between 5.0 cm and 5.6 cm. This measurement is obtained by carefully measuring the longest bone in the baby’s thigh using ultrasound. FL is a reliable indicator of fetal growth and can be used in conjunction with other measurements to estimate the baby’s overall size and weight. Factors that can influence FL include genetics, ethnicity, and overall fetal health. If the FL measurement is outside the normal range, your healthcare provider will consider these factors and conduct further evaluations if necessary. Significant deviations from the normal range may indicate skeletal dysplasia or other growth abnormalities. In such cases, additional testing, such as genetic screening or specialized ultrasounds, may be recommended to further assess the baby’s condition. Remember, early detection and appropriate management are crucial for ensuring the best possible outcome for your baby. So, stay proactive in your prenatal care and don’t hesitate to discuss any concerns you may have with your healthcare provider. They are there to provide guidance and support throughout your pregnancy journey. Femur length is an important parameter for assessing skeletal growth and estimating gestational age. Monitoring FL helps healthcare providers identify potential skeletal abnormalities and assess overall fetal growth. Deviations from the normal range may warrant further investigation to rule out any underlying issues. Regular monitoring and appropriate interventions are crucial for ensuring the best possible outcome for the baby’s skeletal development.

Importance of Regular Monitoring

Regular monitoring of fetal biometry measurements is essential throughout pregnancy. These measurements provide valuable information about the baby’s growth and development, allowing healthcare providers to identify potential problems early on. By tracking these parameters over time, doctors can assess whether the baby is growing at a healthy rate and detect any deviations from the norm. Early detection of growth abnormalities or other issues can lead to timely interventions, improving the chances of a positive outcome for both mother and baby. Regular monitoring also provides reassurance to expectant parents, knowing that their baby’s health is being closely watched. It’s a collaborative effort between you and your healthcare team to ensure a safe and healthy pregnancy journey. So, keep those appointments, follow your doctor’s recommendations, and don’t hesitate to ask questions along the way. Together, you can work towards a happy and healthy delivery. Consistent and accurate monitoring is paramount to identify potential growth abnormalities or other complications early on. This proactive approach enables timely interventions, such as adjustments to maternal diet, medication, or even early delivery if necessary. Regular check-ups provide an opportunity for healthcare providers to address any concerns, answer questions, and offer guidance to expectant parents, ensuring optimal outcomes for both mother and baby. Close monitoring is the cornerstone of a healthy pregnancy, fostering a sense of security and well-being throughout this transformative journey.

Factors Affecting Fetal Measurements

Several factors can influence fetal biometry measurements, making it important to consider individual circumstances when interpreting the results. Genetics play a significant role, with some babies naturally being larger or smaller than average. Maternal health conditions, such as diabetes or hypertension, can also affect fetal growth. Additionally, placental function is crucial, as the placenta provides the baby with essential nutrients and oxygen. Any issues with placental blood flow can impact fetal growth and development. Other factors include multiple pregnancies, maternal nutrition, and exposure to certain medications or substances. It’s important for healthcare providers to take these factors into account when assessing fetal measurements and determining whether further evaluation is needed. Remember, every pregnancy is unique, and what’s considered normal can vary depending on individual circumstances. So, trust your healthcare provider to provide personalized guidance and support based on your specific situation. And guys, don’t compare your measurements to those of other pregnant women! Focus on your own journey and trust that your healthcare team is doing everything they can to ensure a healthy outcome for you and your baby. Numerous elements influence fetal measurements, encompassing genetics, maternal health, placental function, and environmental factors. Genetic predispositions account for natural variations in size and growth patterns among babies. Maternal health conditions, such as gestational diabetes or hypertension, can impact fetal growth, either promoting excessive growth or restricting it. The placenta’s efficiency in delivering nutrients and oxygen is paramount; placental insufficiency can hinder fetal development. Furthermore, factors like multiple pregnancies, maternal nutrition, and exposure to toxins can influence fetal measurements. Healthcare providers consider these variables when interpreting biometric data to ensure accurate assessments and tailored care plans.

What to Do If Measurements Are Outside the Normal Range

If your baby’s fetal biometry measurements fall outside the normal range, it’s important not to panic. Variations can occur, and it doesn’t necessarily mean there’s a problem. The first step is to discuss the results with your healthcare provider. They will review your medical history, assess other factors, and determine whether further evaluation is needed. Additional tests, such as a repeat ultrasound or Doppler studies, may be recommended to get a clearer picture of the baby’s growth and development. In some cases, closer monitoring may be all that’s necessary. However, if there are concerns about growth restriction or other complications, your doctor may recommend interventions such as dietary changes, medication, or even early delivery. The key is to stay calm, trust your healthcare team, and follow their recommendations. Remember, they are there to support you and ensure the best possible outcome for you and your baby. And hey, it’s okay to feel anxious or worried, but try to focus on the positive and trust that you’re in good hands. Together, you can navigate any challenges that may arise and work towards a healthy and happy delivery. So, take a deep breath, reach out to your support system, and know that you’re not alone. Receiving fetal biometry measurements outside the normal range can understandably cause anxiety. However, it’s crucial to remain calm and consult with your healthcare provider for clarification and guidance. Further evaluation may involve repeat ultrasounds, Doppler studies to assess blood flow, or other diagnostic tests to determine the cause of the deviation. Depending on the findings, management strategies may include closer monitoring, dietary adjustments, medication, or, in some cases, early delivery. The key is to collaborate closely with your healthcare team, adhere to their recommendations, and maintain a positive outlook, trusting in their expertise to ensure the best possible outcome for both you and your baby.